
Svaly

Svaly jsou schopné se stahovat, čímž umožňují pohyb.
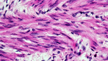
Svalová tkáň
Svaly mohou být složené z různých typů svalové tkáně:
- příčně pruhovaná svalovina (a, též kosterní) – Tvoří kosterní svaly, je ovladatelná vůlí, skládá se z mnohojaderných svalových vláken.
- srdeční svalovina (b, přesněji příčně pruhovaná srdeční) – Tvoří srdeční sval, není ovladatelná vůlí a je neunavitelná. Skládá se z navzájem spojených 1–2jaderných buněk.
- hladká svalovina (c) – Je přítomna zejména ve vnitřních orgánech, např. v trávicí trubici, děloze či ve stěnách cév. Není ovladatelná vůlí, skládá se z vřetenovitých 1jaderných buněk.

Funkce svalů
Svaly mění chemickou energii živin na energii mechanickou (a též na teplo). Zdrojem energie pro svaly jsou zejména sacharidy glukóza (bezprostřední zdroj energie) a glykogen (zásobní látka). Živiny a kyslík nutný k buněčnému dýchání přivádí do svalů cévy (*), které zároveň odvádějí zplodiny metabolismu (např. oxid uhličitý).
Do svalů zasahují též nervy (**), které vedou do svalu informaci o zamýšleném pohybu (stahu), naopak do mozku či míchy vedou informaci o stavu svalu, např. míře jeho natažení.
Stavba kosterních svalů
Vlákna příčně pruhované svaloviny (1) se v kosterním svalu sdružují do snopečků (2) a snopců (3). Kosterní svaly se většinou upínají na kosti šlachami (4, obvykle opačnými konci k různým kostem, aby docházelo k pohybu v kloubu). Vně je kosterní sval kryt vazivovým obalem (povázkou, fascií – 5).

Vybrané kosterní svaly
- obličejové (mimické) svaly (a), zdvihač hlavy (b), deltový sval (c)
- dvojhlavý (d) a trojhlavý (e) sval pažní – Příklad svalů, které působí protichůdně (antagonisticky): dvojhlavý sval pažní zajišťuje ohnutí (flexi), trojhlavý zajišťuje natažení (extenzi) horní končetiny v lokti.
- velký prsní sval (f), přední pilovitý sval (g), přímý sval břišní (h), zevní šikmý sval břišní (i)
- trapézový sval (j), široký sval zádový (k), velký sval hýžďový (l)
- čtyřhlavý sval stehenní (m), krejčovský sval (n), přední holenní sval (o), trojhlavý lýtkový sval (p, ke kosti patní připojen Achillovou šlachou – q)

Dalším významným svalem je bránice, uplatňuje se při dýchání.
Materiály k tisku
K dispozici je schéma kosterních svalů v těle člověka s popisky i bez popisků (k rozstříhání a popsání).
Zavřít